Ноги колесом!

Материал подготовил детский хирург, детский ортопед-травматолог Туманов Леонид Максимович.
Начнем с определения
О-образное положение ног называется ВАРУСОМ коленных суставов или голеней.
«Варус» – это описательный термин, обозначающий отклонение чего-либо кнутри от оси чего либо.
Варус, как и вальгус, бывает в различных частях организма. Бывает физиологическим, а бывает следствием некоторых патологических состояний.

Когда ВАРУС норма?
Чаще всего вопрос варуса в ногах возникает у родителей детей, только что начавших ходить. И по иронии именно этот Варус меньше всего беспокоит ортопедов.
В норме дети рождаются с физиологическим варусным отклонением коленного сустава. Это является следствием особенностей внутриутробного положения и развития ребёнка. На первом году жизни, пока ребенок не начал ходить, это может не привлекать внимания родителей. Но после начала ходьбы, обычно после года, варус становится более заметным. Иногда оно может казаться более выраженным за счёт относительно большой наружной ротации в тазобедренных суставах и внутренней торсии голеней.
Такое положение является нормальным для детей в среднем до 2 лет и к этому возрасту будет постепенно сменяться физиологическим вальгусом голеней. В редких случаях физиологический варус коленных суставов может быть заметным и до 3-4 лет.

Не устаю показывать эту картинку с нормальным развитием детей
Спонтанную коррекцию легко спрогнозировать, если в положении лёжа свести ноги ребёнка. Если при сдавливании лодыжек с внешней стороны колени выравниваются – значит деформация пройдет сама почти наверняка.
Все, что требуется от медицинского специалиста в этом случае – успокоить взволнованных родителей и уберечь от лишних трат на остеопатов, массажистов, обувь или стельки.
Когда НЕ НОРМА?
Куда большее беспокойство ортопедов вызывает Варус голеней у детей старше 2 лет.
Поводом для обращения к ортопеду точно будет:
- Односторонняя деформация – всегда является патологической
- После 1,5 лет деформация не имеет тенденции к уменьшению, появилась и прогрессирует
- Деформация возникшая в подростковом возрасте
- Деформация возникшая после травмы или инфекционного процесса
В этих случаях точно нужен полноценный очный осмотр врача и дообследование.
Минимальный план обследования:
- рентгенограммы нижних конечностей стоя в прямой (передне-задней) и боковой проекциях с измерением всех необходимых соотношений
- Анализы крови на уровень витамина Д и оценка показателей кальциево-фосфорного обмена (кальций, фосфор, паратгормон)
Наиболее частыми (но всё равно редкими) причинами таких симптомов могут быть:
- Инфантильная форма болезни Блаунта.
Требует пристального внимания. При тяжёлых формах необходимо хирургическое лечение, желательно до 4 лет. При лёгких формах может произойти самостоятельно разрешение заболевания, хотя некоторая литература рекомендует для достижения этого применять антиварусные брейсы (ортезы по типу KAFO – Knee-Ankle-Foot Orthosis). Считается, что данный вариант лечения может применяться у детей не старше 3 лет. При отсутствии эффекта в течении года нужно хирургическое вмешательство.

5-летняя девочка с двухсторонней болезнью Блаунта

Пример ортеза KAFO
- Подростковая форма болезни Блаунта
Обычно менее выраженная. Тем не менее значимые деформации исправить можно только хирургически.

14-летняя девочка с односторонней подростковой формой болезни Блаунта и варусной деформацией левой голени
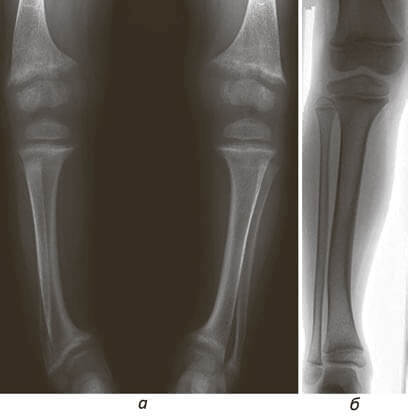
- Рахит и рахитоподобные состояния
Требуется наблюдение и лечение у педиатра. Деформация может пройти самостоятельно на фоне коррекции обменных нарушений. При сохранении деформации – лечение хирургическое.

а. Посмотрите на дистальные отделы бедренных и большеберцовых костей – отметьте их отклонение кнутри и неравномерную плотность кости
б. Через год после начала лечения рахита форма и структура кости значимо улучшилась.
- Системные дисплазии скелета
Обычно проявляются не только деформацией нижних конечностей, но и других зон. Деформации в этих случаях исправляются только хирургически.
Пример пациента с ахондроплазией
- Поражения ростковых зон после травм или инфекций может приводить к асимметричному росту кости и ее деформации.
Лечение также будет хирургическим
Лечение варуса
К сожалению, большая часть патологического варуса возможно исправить только хирургически. Своевременное выявление и лечение позволяет выбрать наименее травматичный вид хирургического вмешательства. Спектр операций здесь от одностороннего блокирования зоны роста (гемиэпифизиодез – не дают расти с одной стороны, чтобы с другой доросло) до различных вариантов корректирующих остеотомий (пилят кости, ставят как нужно).
После вмешательств, естественно, актуально прохождение физической реабилитации, лечебной физкультуры для разработки функции конечности.
Выводы:
- Большая часть детского варуса коленей – физиологическая норма у детей до 2 лет
- Массажи, стельки, ортообувь, остеопаты, курсы ЛФК не могут исправить патологический варус, а для физиологического не нужны
- Лечение патологического варуса обычно хирургическое, тактика определяется оперирующим ортопедом
- При возникновении вопросов обратиться к врачу – отличный вариант.
Больше интересной и полезной информации об ортопедии (детской и взрослой), о спортивных травмах, реабилитации и ЛФК в ортопедии, а также детской хирургии читайте в телеграм канале детского хирурга, детского ортопеда-травматолога Euromed Kids Туманова Леонида Максимовича
Литература:
- Ян Доус Виссер «Детская ортопедия», стр.252-256 (перевод Д.В. Деревянко)
- Lynn T. Staheli «Practice of Pediatric Orthopedics. Second Edition. Chapter 4. Lower Limb», 82-87
- John Anthony Herring «Tachdjian’s PEDIATRIC ORTHOPAEDICS. Fourth Edition. Chapter 22 – Disorders of the Leg», 1472-1504
- https://www.orthobullets.com/pediatrics/4051/adolescent-blounts-disease
- https://www.orthobullets.com/pediatrics/4051/adolescent-blounts-diseasehttps://www.orthobullets.com/pediatrics/4050/infantile-blounts-disease-tibia-vara


Больше интересной и полезной информации об ортопедии (детской и взрослой), о спортивных травмах, реабилитации и ЛФК в ортопедии, а также детской хирургии